Our services

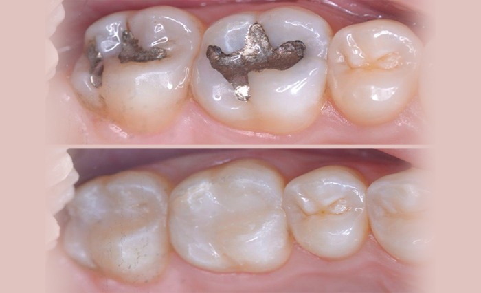
ESTHETIC FILLING

Light cured fully esthetic fillings made by layers that each can be done with different color. Titanium pins are used for weak teeth.